Chỉnh nha là phương pháp nha khoa giúp sắp xếp lại răng và điều chỉnh khớp cắn về đúng vị trí bằng các khí cụ chuyên dụng, từ đó cải thiện thẩm mỹ nụ cười và chức năng ăn nhai. Hiện nay, chỉnh nha không chỉ giới hạn ở mắc cài truyền thống mà còn có nhiều phương pháp hiện đại, phù hợp với từng độ tuổi và nhu cầu khác nhau. Việc hiểu rõ chỉnh nha là gì và có những phương pháp chỉnh nha phổ biến nào sẽ giúp bạn lựa chọn giải pháp phù hợp ngay từ đầu, tránh điều trị sai hướng hoặc kéo dài thời gian không cần thiết.
Chỉnh nha là gì và giải thích dễ hiểu từ bác sĩ nha khoa
Chỉnh nha là phương pháp nha khoa giúp sắp xếp lại vị trí của răng và điều chỉnh khớp cắn về đúng chuẩn thông qua các khí cụ chuyên dụng như mắc cài hoặc khay trong suốt. Mục tiêu của chỉnh nha không chỉ là làm răng đều đẹp hơn mà còn giúp răng ăn nhai hiệu quả, dễ vệ sinh và giảm nguy cơ bệnh lý răng miệng về lâu dài.
Hiểu một cách đơn giản, chỉnh nha là quá trình tạo lực nhẹ và liên tục để đưa răng dịch chuyển dần về vị trí mong muốn trên cung hàm. Sự dịch chuyển này diễn ra từ từ, an toàn và được kiểm soát chặt chẽ bởi bác sĩ nha khoa, giúp răng thích nghi mà không gây tổn hại đến mô xung quanh.

Những trường hợp cần can thiệp chỉnh nha sớm
Việc can thiệp chỉnh nha sớm giúp định hướng răng và khớp cắn phát triển đúng, hạn chế biến chứng phức tạp về sau và rút ngắn thời gian điều trị. Dưới đây là những tình trạng răng miệng thường được bác sĩ khuyến nghị nên chỉnh nha sớm.
1. Răng hô
Răng hô là tình trạng răng hàm trên nhô ra quá mức so với hàm dưới, gây mất cân đối khuôn mặt và khó khép môi tự nhiên. Nếu không chỉnh nha sớm, răng hô có thể ảnh hưởng đến phát âm, chức năng ăn nhai và dễ gặp chấn thương răng cửa. Chỉnh nha giúp đưa răng về vị trí chuẩn, cải thiện khớp cắn và sự hài hòa của gương mặt.
2. Răng móm
Răng móm xảy ra khi hàm dưới đưa ra trước so với hàm trên, khiến khớp cắn ngược và khuôn mặt mất cân đối. Tình trạng này không chỉ ảnh hưởng thẩm mỹ mà còn làm giảm hiệu quả ăn nhai và tăng nguy cơ mòn răng. Can thiệp chỉnh nha sớm giúp kiểm soát hướng phát triển của xương hàm và răng, từ đó cải thiện chức năng và hạn chế phải điều trị phức tạp sau này.
3. Răng thưa
Răng thưa là tình trạng giữa các răng có khoảng hở, khiến thức ăn dễ mắc kẹt và khó vệ sinh. Lâu dài, răng thưa có thể dẫn đến viêm nướu và ảnh hưởng thẩm mỹ khi cười nói. Chỉnh nha giúp kéo răng lại sát nhau, đóng khoảng thưa một cách tự nhiên và ổn định, đồng thời cải thiện sự đều đặn của cung răng.
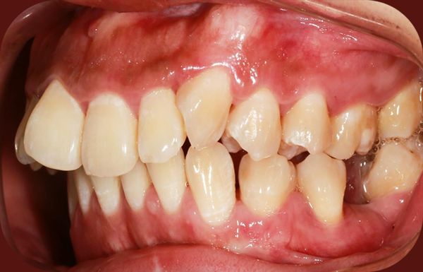
4. Răng chen chúc
Răng chen chúc xảy ra khi răng mọc không đủ chỗ trên cung hàm, dẫn đến lệch lạc, xoay răng hoặc chồng chéo. Tình trạng này gây khó khăn trong việc làm sạch răng, làm tăng nguy cơ sâu răng và viêm nướu. Chỉnh nha sớm giúp sắp xếp lại răng, tạo khoảng hợp lý và đảm bảo răng mọc đúng vị trí, góp phần bảo vệ sức khỏe răng miệng lâu dài.

Có những phương pháp chỉnh nha phổ biến nào hiện nay?
Hiện nay, chỉnh nha không còn giới hạn ở một phương pháp duy nhất mà đã có nhiều lựa chọn khác nhau, phù hợp với từng tình trạng răng, độ tuổi và nhu cầu thẩm mỹ. Dưới đây là các phương pháp chỉnh nha phổ biến được áp dụng rộng rãi trong nha khoa hiện đại.
1. Chỉnh nha mắc cài kim loại truyền thống
Đây là phương pháp chỉnh nha lâu đời và phổ biến nhất. Mắc cài kim loại được gắn trực tiếp lên răng, kết hợp với dây cung để tạo lực kéo giúp răng dịch chuyển dần về đúng vị trí. Ưu điểm của chỉnh nha mắc cài kim loại là hiệu quả cao, kiểm soát lực tốt, phù hợp với nhiều trường hợp sai lệch răng từ nhẹ đến phức tạp. Tuy nhiên, tính thẩm mỹ chưa cao do mắc cài dễ nhìn thấy khi giao tiếp.

2. Chỉnh nha mắc cài sứ tăng tính thẩm mỹ
Chỉnh nha mắc cài sứ có cơ chế hoạt động tương tự mắc cài kim loại nhưng sử dụng chất liệu sứ có màu gần giống răng thật. Nhờ đó, phương pháp này tăng tính thẩm mỹ, ít lộ hơn khi cười nói. Mắc cài sứ thường được lựa chọn bởi người trưởng thành hoặc những ai quan tâm nhiều đến ngoại hình trong quá trình chỉnh nha.
3. Chỉnh nha mắc cài tự buộc
Mắc cài tự buộc là phiên bản cải tiến của mắc cài truyền thống, sử dụng hệ thống nắp trượt để cố định dây cung thay vì dây thun. Ưu điểm của chỉnh nha mắc cài tự buộc là giảm ma sát, rút ngắn thời gian điều trị và hạn chế cảm giác đau khi siết lực. Phương pháp này giúp việc vệ sinh răng miệng thuận tiện hơn và giảm số lần tái khám.
4. Chỉnh nha bằng khay trong suốt
Chỉnh nha bằng khay trong suốt sử dụng các khay nhựa trong được thiết kế riêng cho từng giai đoạn dịch chuyển răng. Phương pháp này có ưu điểm nổi bật về tính thẩm mỹ cao, dễ tháo lắp và thuận tiện khi ăn uống, vệ sinh răng miệng. Chỉnh nha bằng khay trong suốt phù hợp với các trường hợp sai lệch răng nhẹ đến trung bình và yêu cầu người điều trị tuân thủ nghiêm thời gian đeo khay để đạt hiệu quả.

Chỉnh nha mất bao lâu? Thời gian điều trị có khác nhau không?
Thời gian chỉnh nha là vấn đề được nhiều người quan tâm trước khi quyết định điều trị. Trên thực tế, chỉnh nha không có một mốc thời gian cố định cho tất cả mọi người. Trung bình, quá trình chỉnh nha thường kéo dài từ 18-24 tháng, tuy nhiên có thể ngắn hơn hoặc lâu hơn tùy từng trường hợp cụ thể.
Sự khác nhau về thời gian chỉnh nha đến từ mức độ sai lệch của răng và khớp cắn. Những trường hợp răng lệch nhẹ, thưa ít hoặc chen chúc đơn giản thường có thời gian điều trị ngắn hơn. Ngược lại, răng hô, móm nặng hoặc sai khớp cắn phức tạp sẽ cần nhiều thời gian hơn để răng dịch chuyển ổn định và an toàn.
Bên cạnh đó, phương pháp chỉnh nha được lựa chọn cũng ảnh hưởng đến thời gian điều trị. Mỗi phương pháp có cơ chế tác động và khả năng kiểm soát lực khác nhau, từ đó quyết định tốc độ dịch chuyển của răng. Tuy nhiên, yếu tố này luôn được bác sĩ cân nhắc dựa trên tình trạng răng miệng, không chỉ dựa vào mong muốn rút ngắn thời gian.
Ngoài ra, sự hợp tác của người chỉnh nha đóng vai trò rất quan trọng. Việc tái khám đúng lịch, đeo khí cụ hoặc khay chỉnh nha đủ thời gian và vệ sinh răng miệng đúng cách giúp quá trình điều trị diễn ra thuận lợi, hạn chế kéo dài không cần thiết.
Những lợi ích lâu dài khi chỉnh nha đúng cách
Chỉnh nha đúng cách không chỉ mang lại nụ cười đều đẹp trong thời gian điều trị mà còn tạo ra nhiều giá trị bền vững cho sức khỏe răng miệng về sau. Khi răng và khớp cắn được sắp xếp chuẩn, những lợi ích này sẽ duy trì ổn định theo thời gian.
Trước hết, chỉnh nha giúp cải thiện chức năng ăn nhai. Răng được đưa về vị trí đúng giúp lực nhai phân bố đều, hạn chế tình trạng mòn răng, đau khớp thái dương hàm và các vấn đề do sai khớp cắn gây ra. Điều này đặc biệt quan trọng để bảo vệ răng thật lâu dài.
Bên cạnh đó, chỉnh nha đúng cách góp phần giữ răng miệng khỏe mạnh hơn. Khi răng đều và không chen chúc, việc vệ sinh răng miệng trở nên dễ dàng, giảm nguy cơ sâu răng, viêm nướu và viêm nha chu. Đây là lợi ích âm thầm nhưng rất rõ rệt theo thời gian.
Về mặt thẩm mỹ, chỉnh nha giúp duy trì nụ cười hài hòa và tự nhiên. Răng đều đặn, khớp cắn chuẩn giúp khuôn mặt cân đối hơn, đồng thời tăng sự tự tin trong giao tiếp và sinh hoạt hằng ngày.
Và hơn hết chỉnh nha còn mang lại giá trị bảo tồn răng thật tối đa. Khi răng được sắp xếp đúng vị trí ngay từ đầu, bạn sẽ hạn chế phải can thiệp nha khoa phức tạp về sau như mài răng, bọc sứ hay phục hình răng mất.

Chỉnh nha không chỉ mang ý nghĩa cải thiện thẩm mỹ trước mắt mà còn đem lại nhiều lợi ích lâu dài cho sức khỏe răng miệng và chất lượng cuộc sống. Khi được thực hiện đúng chỉ định và theo dõi chuyên môn đầy đủ, chỉnh nha giúp răng về đúng vị trí, khớp cắn ổn định và bảo tồn răng thật tối đa. Vì vậy, lựa chọn chỉnh nha đúng cách ngay từ đầu chính là nền tảng để duy trì nụ cười khỏe đẹp bền vững theo thời gian.