Việc lệch khớp cắn là một vấn đề răng miệng khiến nhiều người cảm thấy khó chịu, gây mất thẩm mỹ cho gương mặt. Ngoài ra còn ảnh hưởng đến vấn đề ăn nhai, tăng nguy cơ mắc các bệnh răng miệng. Và niềng răng mắc cài sứ là phương pháp điều trị lệch khớp cắn phổ biến hiện nay.
Răng lệch khớp cắn là gì?
Răng bình thường là răng mọc đều, thẳng hàng, không xảy ra tình trạng xô lệch, chen chúc hoặc có khoảng cách. Còn những thay đổi trong việc căn chỉnh khớp cắn được gọi là sai khớp cắn, đó là tình trạng hàm trên và hàm dưới không tương quan như độ cân xứng răng, xương hàm và diện tích tiếp xúc các răng hai hàm.
Sự sai lệch về khớp cắn sẽ dẫn đến sự chênh lệch, thiếu cân xứng, không cắn khít lại được với nhau, ảnh hưởng đến quá trình ăn nhai, phát âm.
Răng hàm trên nên nên khớp với rãnh của răng hàm dưới. Răng hàm trên thẳng hàng sẽ giúp không bị cắn vào má và môi còn răng hàm dưới thẳng hàng để bảo vệ lưỡi. Bất kì sự sai lệch nào về răng cũng cần sớm được giải quyết.
Nguyên nhân dẫn đến tình trạng lệch khớp cắn
Theo các Bác sĩ, tình trạng răng lệch khớp cắn xảy ra thường là do di truyền, bẩm sinh cấu trúc răng đã bị chênh lệch như vậy điều này có nghĩa là nó có thể được truyền từ thế hệ này sang thế hệ khác. Ngoài ra, một số nguyên nhân khách quan dẫn đến khớp cắn bị sai lệch như các yếu tố về răng và hàm hoặc những thói quen xấu từ lúc nhỏ làm thay đổi cấu trúc và hình dáng xương hàm:- Yếu tố về răng và hàm: Trường hợp bị mất răng sớm, kích thước răng quá lớn so với hàm, răng bị mọc lệch, hai hàm không khít được với nhau hay các dị tật hàm bẩm sinh như hở hàm ếch, sứt môi,… sẽ gây ra tình trạng lệch khớp cắn.
- Các yếu tố tác động khác: Nếu bị chấn thương hoặc có khối u trong miệng được hình thành trên môi, mặt bên lưỡi, sàn miệng, và vòm miệng mềm cũng có nguy cơ dẫn đến lệch khớp cắn.
- Các thói quen xấu khi còn nhỏ: thường xuyên sử dụng núm vú giả, mút ngón tay cái, sử dụng việc bú bình trong thời gian dài, nếu không ngăn ngừa sớm thì việc lệch khớp cắn có nguy cơ xảy ra.
- Việc trám răng, niềng răng không đúng cách, biến chứng khi trồng Implant cũng có nguy cơ lệch khớp cắn.
- Viêm Amidan quá phát gây sưng to, chèn ép cuống họng, cản trở không khí lưu thông qua đường hầu họng tắc nghẽn đường thở (thở bằng miệng) cũng là một trong những nguyên nhân gây lệch khớp cắn.
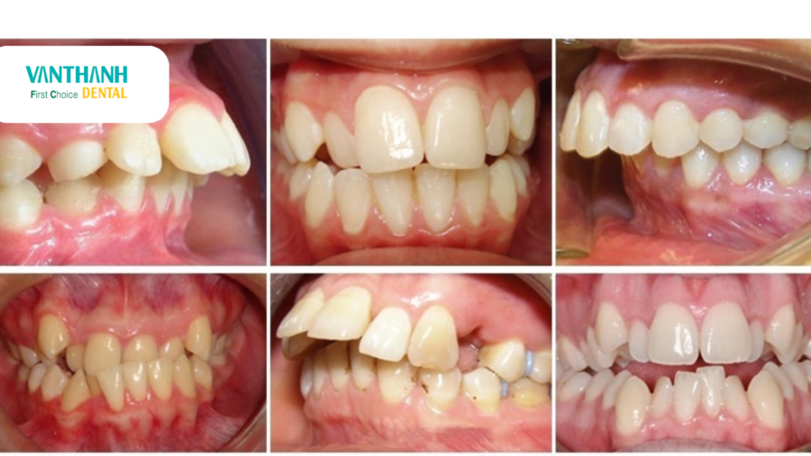
Các dạng lệch khớp cắn thường gặp
Một số nguyên nhân khách quan dẫn đến khớp cắn bị sai lệch như tác động từ bên ngoài hoặc những thói quen xấu từ lúc nhỏ như ngậm ti giả quá nhiều, mút tay, bú bình, đẩy lưỡi thường xuyên… Điều này sẽ làm thay đổi cấu trúc và hình dáng xương hàm. Dưới đây là các dạng lệch khớp cắn thường gặp:Khớp cắn ngược
Khớp cắn ngược là gì? Đây là trường hợp xương hàm dưới bị đưa ra ngoài quá mức so với hàm trên. Nếu nhìn nghiêng sẽ thấy phần môi dưới chìa ra rõ so với môi trên. Còn trường hợp bị lệch khớp cắn nặng thì cằm còn chìa hẳn ra bên ngoài gây lệch mặt, việc cử động hàm cũng rất khó khăn.Khớp cắn sâu
Khi bị lệch khớp cắn sâu thì hàm dưới sẽ bị lọt thỏm so với hàm trên và khuất sâu bên trong. Hàm dưới sẽ bị khuất nếu nhìn nghiêng.Khớp cắn chéo
Ở trường hợp này là răng của bệnh nhân sẽ mọc lộn xộn, xô lệch với nhau. Có răng sẽ bị nhô ra, răng bị nhô vào, khi cười sẽ lộ rất rõ việc lệch khớp cắn.Khớp cắn hở
Tình trạng này ảnh hưởng rất nhiều đến thẩm mỹ của khuôn mặt. Khi nhóm răng cửa bị hở, người đối diện có thể thể nhìn thấy lưỡi. Khi bị khớp cắn hở răng giữa hai hàm không thể chạm vào nhau gây khó khăn trong việc ăn nhai thức ăn.Tác hại của việc lệch khớp cắn
Khi răng gặp phải tình trạng mọc chen chúc, răng chìa ra bên ngoài hoặc cụp vào bên trong quá mức rất dễ bị lệch khớp cắn. Nếu không được điều trị, tình trạng khớp cắn bị lệch có thể gây ra một số vấn đề sức khỏe:
Ảnh hưởng đến sức khỏe răng miệng
Răng bị lệch khớp cắn, mọc lộn xộn, không đều thì quá trình vệ sinh răng miệng chắc chắn sẽ gặp nhiều khó khăn. Bởi ở nhiều vị trí, bàn chải sẽ không chải tới được nên mảng bám, thức ăn thừa sẽ còn đọng lại khiến vi khuẩn sinh sôi dẫn đến các căn bệnh về răng miệng như viêm nha chu, viêm lợi, sâu răng....Ảnh hưởng đến chức năng ăn nhai
Khi khớp cắn bị lệch không thể phân lực đều và mạnh ra cả hàm như răng bình thường. Nhiều lúc, phải sử dụng hàm với lực quá mức trong thời gian dài. Điều này dễ khiến răng bị gãy, mẻ, dẫn đến co thắt cơ và các vấn đề khớp thái dương hàm. Ngoài ra còn khiến việc ăn nhai bị giảm sút, chất lượng cuộc sống cũng bị ảnh hưởng.Ảnh hưởng đến cách phát âm
Lệch khớp cắn cũng sẽ gây ảnh hưởng đến cách phát âm nguyên nhân là do lưỡi và môi không thể hoạt động nhịp nhàng. Những trường hợp như ngọng, nói đớt hay phát âm không chuẩn vì lệch khớp cắn khiến gây tự ti, mặc cảm.Ảnh hưởng thẩm mỹ gương mặt
Đây là ảnh hưởng thấy rõ nhất khi bị lệch khớp cắn. Khi hai hàm bị chênh lệch thì gương mặt sẽ bị mất đi sự cân đối, nhất là phần miệng, hàm và cằm bị tác động dễ thấy nhất. Còn khi cười, những khuyết điểm ở phần hàm cũng sẽ lộ rõ.Điều trị lệch khớp cắn như thế nào?
Lệch khớp cắn được coi là khuyết điểm của hàm răng. Vì thế, khi răng có dấu hiệu sai lệch giữa hai hàm, cần giải quyết càng sớm. Các bác sĩ sẽ xem xét nguyên nhân và tình trạng lệch khớp cắn như thế nào để có giải pháp điều trị phù hợp:Niềng răng bằng mắc cài sứ 
Có nhiều phương pháp niềng răng nhưng niềng răng bằng mắc cài sứ mang lại tính thẩm mỹ cao. Mắc cài sứ có màu sắc tương tự với màu răng thật nên khó bị phát hiện là đang niềng răng. Phương pháp này cũng giúp giảm thiểu tối đa cảm giác đau nhức, ê buốt hay cộm rát lưỡi, khoang miệng vì mắc cài sứ khá đều, trơn, nhẵn, lực ma sát giữa dây cung và mắc cài rất thấp.
Mắc cài sứ sẽ thích ứng tốt với cơ thể, kể cả với những người nhạy cảm nhất hay những người dị ứng với mắc cài bằng kim loại. Ngoài ra phương pháp này cũng có hiệu quả chỉnh răng tốt, độ bám chặt cao, chịu lực kéo ở nhiều cấp độ và đặc biệt giúp rút ngắn thời gian niềng răng hơn.
Bọc răng sứ
Phương pháp này cũng có thể giúp cải thiện tình trạng sai lệch khớp cắn nhưng chỉ trường hợp sai lệch không quá nhiều, ví dụ như răng lệch lạc hoặc răng bị hô nhẹ. Thời gian cải thiện khuyết điểm khá nhanh, chỉ mất từ 2 – 4 ngày. Ngoài việc điều chỉnh khớp cắn còn giúp nâng cao độ trắng sáng, đều đẹp cho răng. Còn nếu bị lệch khớp cắn quá nặng thì trước tiên cần phải niềng răng trước, sau đó mới tiến hành bọc răng sứ. Vì nếu bọc răng sứ nhiều sẽ phải mài răng nhiều, điều này sẽ làm ảnh hưởng không tốt cho sức khỏe răng miệng cũng như sức khỏe tổng thể.Phương pháp cấy Implant
Phương pháp cấy Implant được xem là cách phục hồi răng đã mất an toàn và hiệu quả lâu dài nhất. Tuy nhiên, trường hợp sai lệch khớp cắn vì nguyên nhân phục hồi răng sai kỹ thuật cách thì bệnh nhân thì vẫn có thể áp dụng phương pháp cấy Implant. Bệnh nhân nên đến nha khoa sớm nhất để kịp thời phát hiện và điều trị.
Khi răng bị lệch khớp cắn sẽ xuất hiện tình trạng kênh cộm, một số răng lệch tác động vào vị trí cấy ghép Implant. Vì thế, khi cấy ghép Implant thì Bác sĩ sẽ lưu ý đến lực nhai, vị trí và sự di chuyển của răng đối diện cũng như toàn hàm. Khi chân răng bằng Titanium gắn chặt vào xương hàm thì các Bác sĩ tiến hành phục hình hàm giả, răng sứ hoặc cầu răng lên trên, đảm bảo không bị trượt hay dịch chuyển trong miệng, giúp khôi phục răng hiệu quả.
Liên hệ ngay Hotline 1900 636 615 để được hỗ trợ tư vấn nhanh nhất! Theo dõi Fanpage Nha Khoa Vạn Thànhđể cập nhật chi tiết những thông tin ưu đãi mới nhất! Đặt hẹn online cùng Nha khoa Vạn Thành, thăm khám tiện lợi không cần chờ