Nha khoa tổng quát chính là nền tảng giúp bảo vệ sức khỏe răng miệng lâu dài thông qua thăm khám, phòng ngừa và điều trị sớm các vấn đề thường gặp. Tuy nhiên, không ít người vẫn băn khoăn nha khoa tổng quát là gì và bao gồm những dịch vụ nào, liệu có cần thiết khi răng chưa đau hay chưa gặp vấn đề rõ ràng. Trong bối cảnh xu hướng chăm sóc răng miệng chủ động ngày càng được quan tâm, việc hiểu đúng về nha khoa tổng quát sẽ giúp bạn kiểm soát tình trạng răng miệng tốt hơn, tiết kiệm chi phí điều trị và tránh những can thiệp phức tạp về sau.
Nha khoa tổng quát là gì và vì sao ngày càng được quan tâm?
Nha khoa tổng quát là lĩnh vực nền tảng trong chăm sóc răng miệng, tập trung vào thăm khám, phòng ngừa và điều trị sớm các vấn đề răng nướu thường gặp. Thay vì chỉ điều trị khi đã đau nhức hay biến chứng, nha khoa tổng quát hướng đến việc theo dõi sức khỏe răng miệng toàn diện, phát hiện sớm bất thường và can thiệp kịp thời để bảo tồn răng thật tối đa.
Trong nha khoa tổng quát, bác sĩ sẽ đánh giá tổng thể tình trạng răng, nướu, khớp cắn và mô miệng thông qua khám lâm sàng và các chỉ định cần thiết. Từ đó, người bệnh được tư vấn kế hoạch chăm sóc phù hợp, bao gồm vệ sinh răng miệng định kỳ, điều trị sâu răng, viêm nướu, viêm nha chu giai đoạn sớm và kiểm soát các nguy cơ tiềm ẩn khác.
Việc nha khoa tổng quát ngày càng được quan tâm xuất phát từ xu hướng chăm sóc sức khỏe chủ động. Nhiều người đã nhận ra rằng phần lớn các bệnh lý răng miệng nghiêm trọng đều bắt đầu từ những vấn đề nhỏ nếu không được phát hiện sớm. Khám nha khoa tổng quát định kỳ giúp giảm nguy cơ điều trị phức tạp, hạn chế đau nhức và tiết kiệm chi phí về lâu dài.
Bên cạnh đó, nha khoa tổng quát còn đóng vai trò quan trọng trong việc chuẩn bị nền tảng răng miệng khỏe mạnh trước khi thực hiện các dịch vụ chuyên sâu như bọc răng sứ, niềng răng hay cấy ghép implant. Khi răng và nướu ở trạng thái ổn định, hiệu quả điều trị thẩm mỹ và chức năng sẽ được đảm bảo hơn.

Nha khoa tổng quát bao gồm những dịch vụ nào?
1. Khám răng tổng quát và tầm soát bệnh răng miệng
Khám răng tổng quát là bước đầu tiên và quan trọng nhất trong nha khoa tổng quát. Bác sĩ sẽ kiểm tra toàn diện răng, nướu, mô mềm và khớp cắn nhằm phát hiện sớm các vấn đề như sâu răng, viêm nướu, viêm nha chu hoặc những bất thường tiềm ẩn. Việc tầm soát sớm giúp xây dựng kế hoạch điều trị phù hợp, hạn chế tiến triển nặng và bảo tồn răng thật hiệu quả.
2. Lấy cao răng, đánh bóng - Bước chăm sóc định kỳ quan trọng
Lấy cao răng và đánh bóng răng là dịch vụ không thể thiếu trong nha khoa tổng quát. Cao răng và mảng bám tích tụ lâu ngày là nguyên nhân chính gây viêm nướu, hôi miệng và các bệnh lý nha chu. Việc làm sạch định kỳ giúp nướu khỏe hơn, bề mặt răng sáng sạch và giảm nguy cơ sâu răng cũng như viêm nhiễm răng miệng.
3. Trám răng, điều trị sâu răng trong nha khoa tổng quát
Khi phát hiện sâu răng ở giai đoạn sớm, bác sĩ sẽ chỉ định trám răng để phục hồi mô răng bị tổn thương. Đây là phương pháp điều trị đơn giản, ít xâm lấn và giúp ngăn ngừa sâu răng lan rộng. Trong nha khoa tổng quát, việc trám răng kịp thời không chỉ cải thiện chức năng ăn nhai mà còn bảo vệ răng thật, tránh phải điều trị phức tạp về sau.
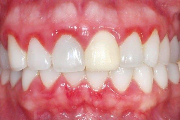
4. Điều trị viêm nướu, viêm nha chu giai đoạn sớm
Điều trị viêm nướu và viêm nha chu giai đoạn sớm là một phần quan trọng của nha khoa tổng quát. Ở giai đoạn đầu, các bệnh lý này có thể được kiểm soát hiệu quả bằng làm sạch chuyên sâu, hướng dẫn vệ sinh răng miệng đúng cách và theo dõi định kỳ. Can thiệp sớm giúp hạn chế nguy cơ tiêu xương, lung lay răng và mất răng về sau.

Vì sao nên khám nha khoa tổng quát định kỳ?
1. Nha khoa tổng quát giúp tiết kiệm chi phí điều trị về lâu dài
Một trong những lợi ích rõ rệt của nha khoa tổng quát là khả năng phát hiện sớm và xử lý kịp thời các vấn đề răng miệng. Những bệnh lý như sâu răng, viêm nướu hay viêm nha chu nếu được can thiệp sớm thường có chi phí điều trị thấp, quy trình đơn giản và ít xâm lấn. Ngược lại, khi để bệnh tiến triển nặng, việc điều trị sẽ phức tạp hơn, kéo theo chi phí cao và thời gian điều trị kéo dài.
2. Chủ động chăm sóc răng miệng thay vì chờ đến khi đau
Nhiều người chỉ đi khám răng khi đã đau nhức hoặc khó chịu rõ ràng. Tuy nhiên, phần lớn bệnh răng miệng ở giai đoạn đầu không có triệu chứng rõ rệt. Khám nha khoa tổng quát định kỳ giúp bạn chủ động theo dõi sức khỏe răng miệng, xử lý sớm những tổn thương nhỏ trước khi trở thành vấn đề nghiêm trọng, từ đó giảm cảm giác đau và căng thẳng khi điều trị.
3. Duy trì răng khỏe, nướu chắc, hơi thở thơm mát
Thông qua các dịch vụ trong nha khoa tổng quát như lấy cao răng, đánh bóng và tư vấn vệ sinh răng miệng đúng cách, răng và nướu luôn được giữ ở trạng thái sạch khỏe. Điều này không chỉ giúp hạn chế viêm nhiễm, chảy máu nướu mà còn cải thiện hơi thở, mang lại sự tự tin trong giao tiếp hằng ngày.

Quy trình khám nha khoa tổng quát chuẩn, không mất nhiều thời gian tại Vạn Thành
Để khách hàng dễ theo dõi và chủ động sắp xếp thời gian, quy trình khám nha khoa tổng quát tại Vạn Thành được chia thành các bước rõ ràng, ngắn gọn nhưng vẫn đảm bảo đầy đủ tiêu chuẩn chuyên môn:
Bước 1: Tiếp nhận và ghi nhận thông tin ban đầu
Khách hàng được hỏi nhanh về tình trạng răng miệng hiện tại, tiền sử nha khoa và nhu cầu thăm khám. Bước này giúp bác sĩ định hướng kiểm tra chính xác, tránh mất thời gian không cần thiết.
Bước 2: Khám tổng quát răng, nướu, khớp cắn
Bác sĩ kiểm tra toàn diện răng, nướu, mô mềm và khớp cắn để phát hiện sớm sâu răng, viêm nướu, viêm nha chu hoặc các dấu hiệu bất thường khác.
Bước 3: Chỉ định chụp phim
Trong trường hợp cần đánh giá sâu hơn cấu trúc răng hoặc xương hàm, khách hàng sẽ được chỉ định chụp phim phù hợp. Việc này giúp chẩn đoán chính xác và tránh bỏ sót vấn đề tiềm ẩn.
Bước 4: Tư vấn tình trạng răng miệng và hướng xử lý
Sau khi có kết quả thăm khám, bác sĩ tư vấn rõ ràng về tình trạng răng miệng, giải thích các vấn đề đang gặp và đề xuất phương án chăm sóc hoặc điều trị phù hợp.
Bước 5: Hướng dẫn chăm sóc và hẹn tái khám định kỳ
Khách hàng được hướng dẫn cách vệ sinh răng miệng đúng cách tại nhà và lịch khám nha khoa tổng quát định kỳ để duy trì răng khỏe lâu dài.

Việc hiểu rõ nha khoa tổng quát là gì và gồm những dịch vụ nào sẽ giúp bạn chủ động bảo vệ răng miệng, hạn chế biến chứng và tiết kiệm chi phí điều trị về lâu dài. Duy trì khám nha khoa tổng quát định kỳ không chỉ giúp răng khỏe, nướu chắc mà còn là bước chuẩn bị cần thiết trước khi thực hiện các dịch vụ nha khoa chuyên sâu hơn.